Want to ask me a dental question? Email: dr.tushar11@gmail.com Phone: +91-9822128750 I will post your questions with answers as I receive them. http://drtushar.com
Friday, August 27, 2010
Does chewing ice harm my teeth?
I have a habit of chewing ice, it feels good and relaxes me after a long day. Will this have any long term impact on my teeth? via email Saturday August 21, 2010
A:
Thanks for the question! Chewing ice can be detrimental to your teeth as it is a repetitive force that is applied to your teeth. Ice a hard substance which when chewed between teeth over time can have the potential to cause small fractures on the tooth surface. These small fractures on the surface of the tooth can over time become larger until a piece of tooth actually fractures off.
As well, ice is cold thus the temperature change in the mouth may cause existing fillings in the teeth such as composite (white) or amalgam (silver) fillings to contract and when the ice is taken away to once again expand. When this happens repeatedly, the area between the filling and the tooth can become weaker and allow leakage between the tooth which has the potential to irritate the pulp and nerve of the tooth.
I would recommend trying to stop this as it can be harmful to the dentition. As well, I would suggest you seen your physician as repetitive ice chewing can be related to anemia (low iron levels), this is called Pica.
Have a great day!
Dr.tushar
Saturday, August 14, 2010
Braces for teeth that are crooked
Q:For as long as I can remember my teeth have been crooked and over the years they have seemed to become even worse. I am very unhappy with the look of my smile and thinking about straightening them. I want to do the best thing possible, what do you suggest for crooked teeth? Via email Thurs. August 10, 2010
A:It is hard to answer your question on a whole since I have not examined your teeth in person, but I will provide some answers below which you may explore to see what is the best option for you.The first choice is orthodontics (braces) as these will address the alignment of both your teeth and jaw, thus providing a more harmonious bite and long term aesthetics. Orthodontics are optimally done by an orthodontist who has many years of expertise/training with straightening teeth and ensuring it is done properly. The time span for orthodontics can vary from a short period of time (sometimes less than a year) to multiple years depending on the situation that presents upon examination and x-rays.Another choice is veneers. Veneers are thin tooth coloured shells that are cemented onto the teeth. When teeth are out of alignment, crooked or have small spaces between them, custom made veneers may be permanently adhered to individual or groups of teeth to give the appearance of straight, evenly spaced teeth and smile. Veneers are not an option for everyone and prior to going with this choice the dentist should fully examine and assess whether veneers are a good long term option for your teeth, smile and aesthetics. Veneers do not last forever, the lifespan can be anywhere from 5-10 years and then they will need to be changed to new ones.Regardless of which route you take to straighten your teeth, please see a qualified dentist to assess the right route to go.
Great question!
Dr.Tushar Kherde
Wednesday, July 21, 2010
Sore on lip that is not healing
I have had a sore on my bottom lip for two months, the size stays about the same but over the last two months it has formed a scab a few times and then fallen off. When the scab falls off it seems to heal for a few days then it comes back again. I am concerned only because it never seems to heal and go away completely. I am 45 years old, a previous 1 pack a day smoker up until 4 years ago. Should I go see my dentist?
Via email
A:
Hello , sorry to hear about the sore on your lip. I urge you to see your dentist or physician as soon as possible to assess the lesion as any lesion within the oral cavity or the surrounding structures should heal and go away within two weeks maximum. The fact that you have been a smoker in the past puts you at higher risk for possible changes in your oral tissue due to the exposure to harmful chemicals within cigarettes.
Your dentist and physician should be made aware this has been occurring for two months and it has not went away, this will help them diagnose the lesion better. As well, they may also perform a biopsy to test the tissue to see what it is.
Good luck and if I can be of any assistance please do not hestitate to ask.
Regards,
Dr.Tushar
Saturday, June 5, 2010
Dry mouth due to medication's side effects
I have been on Celexa for over a year. About one month after I started this medication my mouth became very dry, upon reading the side effects for this medication it said that one of the possible side effects was dry mouth. I have found it has become worse during the year, so much at times that my tongue can stick to the top of my mouth and when I wake up in the morning my mouth is like a desert. If I continue on this medication long term, can my body become used to it and will my mouth become less dry? I am unhappy with the side effect (this seems to be the only one so far) but it has helped tremendously in other aspects so I want to continue. (via email)
A:
Thank you for your question . The medication you are on is a SSRI(selective serotonin reuptake inhibitor), which is commonly used for people who have depression and anxiety. I am glad to hear it is helping you! A common side effect of SSRI's is decreased salivary flow/dry mouth. I cannot tell you if this side effect will go away or not, as everyone's body responds differently to medication and I am not in a position as a dentist to answer that question.
What I can help you address is the dry mouth. Dry mouth and decreased salivary flow can put you at higher risk for developing dental cavities and possibly gingivitis/periodontitis. Salivary is important for it's ability to 'wash' the teeth. The liquid component of the saliva helps to rinse/wash the teeth of debris (food and bacteria) so they can be swallowed and not stuck on or in between the teeth. When food becomes stuck and it is not washed away then the potential for cavities to form is much higher. Saliva also has what is called amylase which is an enzyme which begins the process of digestion, specifically starches in the mouth. As well, saliva has the ability to buffer the oral cavity (decreasing the acidity level) to lower the risk of cavity formation.
Tips to help with dry mouth both to help your mouth feel better and prevent cavities
1. Drink water during the day (preferably water with fluoride in it as this will help keep the teeth strong).
2. Chew sugar-free gum after meals if you are not able to brush/floss, this will help mechanically remove food from the teeth and may increase salivary flow to help buffer the mouth).
3. Brush a minimum 3x day for 2 minutes with a fluoridated toothpaste to remove plaque from the teeth
4. Floss a minimum of 1x day to remove plaque from between the teeth
5. Use a fluoride mouthwash 1x day to help remineralize the teeth to prevent decay.
6. You can use a product called Biotene which are dental products specifically designed for those who have dry mouth, it can help stimulate saliva flow.
7. Use a humidifier at night to put moisture into the air that can be transferred to the oral cavity.
8. Use Sorbees sugar-free hard candies during the day to stimulate saliva flow. These candies were created for diabetics but they are also great for people who have dry mouth as they are sugar-free.
9. See your dentist and dental hygienist regularly for cleanings and check-ups to help prevent problems before they begin.
I hope this has been of some assistance to you.
Regards,
Dr.Tushar
Thursday, May 6, 2010
Root Canal Treatment
This is a method of treating the inside of the tooth, also known as a root canal treatment. It is one of the most common dental procedures that can be performed to prevent tooth loss.
To help you understand endodontic treatment, we would like to familiarize you with the anatomy of your tooth. Inside your tooth, under the white tooth enamel and the hard layer of tooth, called dentin, is a soft tissue known as the pulp. The pulp consists of blood vessels, nerves and connective tissue which help to create the surrounding hard tissues of the tooth during development.
The pulp can be found in the center of the tooth and can extend all the way to the tip of the roots where it connects to the tissues surrounding the root. The pulp has a very important role during a tooth’s development. However, a tooth that has reached full maturity can survive without the pulp, because it continues to receive nourishment by the surrounding tissues.
Why do I need endodontic treatment?
If the soft tissue inside the root canal of a tooth becomes inflamed or infected, then a root canal treatment is necessary. There can be a variety of factors that cause the inflammation or infection such as: repeated dental procedures on the tooth, deep decay, crack s or chips in tooth.
What are the signs of needing endodontic
The endodontist removes the inflamed or infected pulp, carefully cleans and shapes the inside of the canal, a channel inside the root, then fills and seals the space. Afterwards, you will return to your dentist, who will place a crown or other restoration on the tooth to protect and restore it to full functions. After restoration, the tooth continues to function like any other tooth.
Many endodontic procedures are performed to relieve the pain of toothaches caused by pulp inflammation or infection. With modern techniques and anesthetics, most patients report that they are comfortable during the procedure. For the first few days after treatment, your tooth may feel sensitive, especially if there was pain or infection before the procedure. This discomfort can be relieved with over-the-counter or prescription medications. Follow your endodontic's instructions carefully. Your tooth may continue to feel slightly different from your teeth for some
Root Canal treatment Procedure
| |||||||||||||||
Saturday, April 17, 2010
Why is my front bottom tooth dark?
Via email from Amit
I have noticed over the past two years my lower front tooth has become darker than the teeth beside it. The tooth almost looks grey. When I was 17 (I am now 26) I fell on my face off a skateboard. At that time I cut up my lips a lot and banged my bottom teeth, but nothing happened at the time and I haven't thought of it since until I noticed my tooth was going grey. I don't have any pain, but I do not like how it looks at all.and wondering what to do.
A:
I cannot comment specifically on your tooth as I haven't examined it, but I can give you some broad answers that may help guide you in what to do next.
First, a tooth that darkens overall and has a greyish appearance typically is one in that the nerve and pulp is dying or dead. A healthy tooth has a rich vascular network within the pulp which nourishes the tooth, when trauma occurs that blood supply overtime can coagulate like a bruise and the nerve of the tooth ceases having sensation. This is when the grey colour appears and unfortunately stays.
The solutions to this may vary, in most cases a root canal can be performed which takes the dead nerve and pulp out of the tooth and replaced with an inert material which fills the space. After the root canal is performed a dental crown or cap may be recommended to protect the remaining tooth structure and prevent fracture. This new dental crown can be matched to your existing adjacent teeth to look as natural as possible.
In select cases where a dental crown or cap is not the choice, dental bleaching may be done on the inside of the tooth to remove the staining on the inside of the tooth. After this bleaching is completed a permanent filling would be put on the tooth to cover the hole where access was made to perform a root canal.
I hope this has helped. Your next step is to visit a Dentist to assess your particular dental situation.
Thanks for the great question!
Should I avoid dentistry while I am pregnant?
via email April 9, 2010 from Yasmin J
I am 8 weeks pregnant and I am wondering when I can get my teeth cleaned as I have noticed that my gums are bleeding and sore. My last dental cleaning was over 1 year ago so I am definitely due.
A:
Thank you for your question Yasmin and congratulations on your pregnancy! Dental care during your pregnancy is very important both for yourself and for your baby. Typically my personal recommendation is as minimal dental treatment possible within the first trimester when the fetal organ's are developing. While dental treatment may not harm this development, it is best to limit potential risk. I recommend dental treatment be done in the second trimester and third if need be (after fetal development is complete). Dental treatment in these latter trimesters should allow for flexibility of movement for the mother as laying on the back for an extended period of time can place pressue on the interior vena cava, so movement during the appointment is necessary.
A dental cleaning in the second trimester and a subsequent one prior to the birth of the baby is important to remove bacterial plaque and tartar to help prevent pregnancy gingivitis-pregnancy hormones and increased blood flow cause the gums to become increasingly sensitive to bacterial plaque, thus inflammation of the gums occurs. Brushing and flossing at home to remove the bacterial plaque is vital to maintaining a healthy mouth during pregnancy, while visiting the dentist assists in removal of both bacterial plaque and tartar both above and below to prevent gingivitis and allowing it to heal.
Pregnancy and your teeth
X-rays are normally not taken during a check-up at your dentist while pregnant so being aware of any warning signs of dental problems is very important, for example a new area of sensitivity, ache/pressure or bad taste/pus should be thoroughly checked to ensure no dental issues are occurring.
Great question, thank you!
Thursday, March 18, 2010
Dentures


Even though complete or partial dentures are not the ideal treatment to replace missing teeth (Dental implant supported restorations are), they can provide many people with a very acceptable restoration that will last and function for many years.
Complete dentures are used when all the teeth have been lost in either your upper or lower arch. They allow you to smile, speak and masticate (a big word that means “chew”) your food so you maintain proper nutrition. While not the ideal restoration these days, they are necessary and will allow you to function far better than if you didn’t replace your missing teeth and had to mash up all your food.
One version of a complete denture is called an IMMEDIATE DENTURE. An immediate denture is a complete denture that is placed at the same time as your last remaining tooth is removed. It allows you to instantly have a full set of teeth and walk out of the office wearing your new denture.
Another version of a complete denture is called an OVERDENTURE. An overdenture is a complete denture that is partially supported by some remaining roots or implants. These roots or implants usually have some type of attachment that allows an insert placed in the denture to snap the overdenture in place. Overdentures are a very effective form of complete denture therapy and far more desirable than a normal complete denture.
A PARTIAL DENTURE is a tooth replacement appliance that replaces one or more missing teeth. It is held on by ‘clipping’ on to some of your existing natural teeth or crowns. They are two types of partial dentures- conventional and precision.
A CONVENTIONAL PARTIAL DENTURE is a tooth replacement appliance that stays in place by ‘hooking’ or ‘clipping’ on to some of your existing natural teeth or crowns. You can generally identify a conventional partial denture by a small metal clasp around one or more teeth.
A PRECISION PARTIAL DENTURE is a tooth replacement appliance that stays in place by attaching to one or more permanent crowns. Generally, precision partial dentures show no metal when you smile and attach to crowns using a number of different precision devices that are very long lasting.
Dental Implants


A dental implant is an artificial tooth root that a dentist places into your jaw to hold a replacement tooth or bridge. Dental implants are an ideal option if you have good general oral health and have lost a tooth or teeth due to periodontal disease, an injury, or some other reason.
While high-tech in nature, dental implants are actually more tooth-saving than traditional bridgework, since implants do not rely on neighboring teeth for support.
Dental implants are so natural-looking and feeling, you may forget you ever lost a tooth. You know that your confidence about your teeth affects how you feel about yourself, both personally and professionally. Perhaps you hide your smile because of spaces from missing teeth. Maybe your dentures don't feel secure. Perhaps you have difficulty chewing. If you are missing one or more teeth and would like to smile, speak and eat again with comfort and confidence, there is good news! Dental implants are teeth that can look and feel just like your own! Under proper conditions, such as placement by a dentist and diligent patient maintenance, implants can last a lifetime.
Crowns & Bridges


Bridges
A dental bridge is a device used to fill the space where a tooth has fallen out or been removed. A typical dental bridge consists of a pontic (a filler tooth) that is attached to two surrounding crowns (abutments). Once complete, this bridge structure is bonded into the mouth. Without the use of a bridge, spaces in the mouth from missing teeth can cause multiple teeth to shift, lead to occlusion (biting) and/or jaw problems, and may spur periodontal disease. Dental bridges safeguard the integrity of existing teeth and help maintain a healthy, vibrant smile.
Crowns
When a tooth is cracked, decayed, or damaged, a dental crown may need to be fitted onto the tooth. A dental crown is a permanent covering that fits over the original tooth. Crowns can be made of porcelain, gold and other metals, acrylic resin, or an amalgam (a mix) of these materials. Porcelain crowns typically have the most realistic appearance, although they tend to be less durable than other materials. Dental crowns can whiten, reshape, and realign existing teeth, adding to a healthy and vibrant smile.
Friday, March 12, 2010
How many teeth should an adult have?
Received via email March 9, 2010 from *******.
How many teeth should an adult have?
A:
Thank you for your question Anthony. This is a question I am asked quite frequently from both adults and children alike.
An adult who has his/her full set of teeth, including their wisdom teeth should have 32 teeth. Exceptions can always occur though, some people these days do not form all four wisdom teeth thus they may have less than 32 teeth. As well, occasionally a person may either be missing a tooth (it does not form) or form an extra tooth, these are exceptions to the rule.
Friday, March 5, 2010
Frequently Asked Questions
Q:Which type of toothbrush should I use?
A:The brand of the toothbrush is not as critical as the type of bristle and the size of the head. A soft toothbrush with a small head is recommended because medium and hard brushes tend to cause irritation and contribute to recession of the gums, and a small head allows you to get around each tooth more completely and is less likely to injure your gums. It's unnecessary to "scrub" the teeth as long as you are brushing at least twice a day and visiting your dentist at least twice a year for cleanings.
A:Both bridges and partial dentures replace missing teeth. A bridge is permanently attached to abutment teeth or, in some cases, implants. A partial denture is attached by clasps to the teeth and is easily removed by the patient. Patients are usually more satisfied with bridges than with partial dentures.
Q:Do I need to have a root canal just because I have a crown?
A:No. While most teeth which have had root canal treatments do need crowns to strengthen the teeth and to return the teeth to normal form and function, not every tooth needing a crown also needs to have a root canal.
Q:Is it possible for my teeth to be more sensitive if I brush?
A:The general answer is a definitive no, if you are brushing correctly. The outside layer of your teeth is made of enamel. This is an extremely hard substance that is very wear resistant. Our suggestion though, is to always use a soft tooth brush so as not to harm the surrounding gums when you brush.
Tuesday, March 2, 2010
Painful new crown/cap
Via email Mon.March.1, 2010 from Anonymous.
I had a crown placed on the rear bottom tooth on the left side a couple of months ago, and when the freezing wore off after placement of the permanent crown, I was up every few hours taking painkillers - it was the worst pain I've ever had. This tooth had never bothered me in the past, but a small piece had broken off, and my dentist recommended getting a crown.
I went back several times, and he gave me prescriptions for antibiotics, painkillers, ground the tooth down, and eventually, after about 3-4 weeks, the pain subsided.
A week ago, it has started up with a vengeance. It is excruciatingly painful, will wake me up out of a sound sleep.
He never did give me a reason as to why it happened in the first place, why placing the permanent crown would cause such awful pain.
Any help you can give would be appreciated.
A:
Thank you for your question. I am sorry to hear you are in pain from your newly placed crown. A permanent crown can give discomfort for a few reasons.
Sometimes after initial preparation and placement of a new crown the nerve can flare up and cause discomfort in the tooth. This will typically settle down with time. If it doesn't then the new crown may be 'high' and need adjustment (ie. grinding the crown down a little) so it doesn't meet with the opposing teeth in an irregular manner. When a tooth is high it can aggravate the nerve and cause discomfort, almost how a bad bruise gives you discomfort, so can a irritated nerve of a tooth. This should be alleviated after adjustment (grinding of the tooth), typically it would go away within a few days.
The last reason may be that the nerve is irritated irreversibly (due to bacteria, trauma or otherwise) and thus may need a root canal (simply put the removal of the pulp) so you will not have the pain any longer.
You will need to see your dentist to assess the situation of the tooth so a solution can be found.
Sunday, February 28, 2010
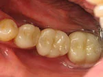
Amalgam (Silver) Fillings and Composite (White) Fillings
The tooth to the left has a composite filling and the tooth to the right has an amalgam filling. What is the best restoration for you?
Amalgam restorations are time tested, durable and safe restorations. The American Dental Association, the WHO, and the FDA all have recently released statements and supporting clinical research on the safety of dental amalgam for all non-allergic patients and healthcare workers.
Composites are a newer class of restorations that offer patients esthetics and bonding. This often allows for more conservative tooth reduction during filling placement than for amalgam.
Amalgam fillings are better suited for:
* Teeth that take a heavier chewing burden - i.e. premolars and molars;
* Teeth that have the need for a large restoration;
* Areas in the mouth where moisture control, during the filling process, is hard to achieve. Amalgam is a more forgiving material is areas where the cavity is below the gumline, or near salivary glands; and
* Areas in the mouth where esthetics are not critical.
Composite fillings are better suited for:
* Teeth that do not carry a heavy chewing burden - i.e. anterior teeth and first bicuspid teeth;
* Teeth that will have small to medium restorations;
* Areas in the mouth where it is easy to have good moisture control during the filling process; and
* Areas in the mouth where esthetics are critical.
Reasons to Consider Porcelain Veneer
What can porcelain veneers do for you?
* Cosmetically close gaps between your teeth;
* Change the color of your teeth, or cover up discolored teeth;
* Change the shape of your teeth;
* Create the illusion of better tooth alignment;
* Strengthen tooth surfaces that have been weakened by prior cavities and fillings;
* Replace missing tooth enamel that has been damaged or is defective; and
* In some circumstances, repair broken porcelain on existing crown or bridgework.
Thursday, February 25, 2010
Impacted wisdom teeth
Q: A friend of mine has recently been examined regarding some pain in his jaw that one dentist already misdiagnosed as cavity pain. It turns out that after being examined by specialists at a very good university research hospital that in fact he has some very seriously disoriented wisdom teeth – teeth that are growing horizontally inside the gum and the roots are tangled up with nerves that control feeling in the tongue. They say that operating will very likely cause a loss all feeling in his tongue..for life. That sounds pretty horrible and there seems to be no alternate solution. What advice can you give in a case like this? Is a good surgeon really likely to damage the nerves in this area or are they just ‘speaking cautiously’? Are there any alternative options?
A: Thank you for the question. First off, I am glad that he has got a second opinion from a specialist, I am assuming the specialist he saw was an oral surgeon. Wisdom teeth unfortunately can form and be impacted (under the jaw either interfering with other teeth or imbedded in the jawbone itself). It sounds like in your friend's case his are horizontally impacted which would then mean they would be moving towards his teeth in front of the wisdom teeth and in near the inferior alveolar nerve. In many cases where the wisdom teeth are impacted in this way they interfere or are intertwined near this nerve, this is when the decision whether to take the wisdom teeth out or leave them in comes to play. It sounds like he is having discomfort with the wisdom teeth and the teeth they are impeding on, in this case the decision to extract them needs to be weighed with the possible side effect of developing paraesthsia (numbness) due to damage to the nerve during the extraction. In some cases this cannot be avoided as the nerve is directly around the wisdom tooth.
I would suggest your friend think about the decision to extract after a thorough discussion with the oral surgeon he is being examined by.


10 Things To Ask Your Dentist
1. Tell me what you believe is the best brush/toothpaste/floss/rinse I can use to keep my mouth clean and healthy.
ANSWER: Slight variations in dental products can help you get the best results. The same regimen will not work for everyone.
2. Tell me what you believe are the foods I should minimize in my diet in order to keep tooth decay/gum problems at bay;
ANSWER: All patients know to avoid table sugar and candy. Did you know that many other foods such as dried fruit, granola, popcorn and sugar-free diet soda can harm your teeth and gums as well?
3. Tell me what you believe are some of the most staining foods, and is there a way to reduce their staining effects?
ANSWER: Coffee, tea, darkly colored sodas, darkly colored candy, darkly colored juices, and red wine are very staining. Adding milk to coffee and tea reduces stain, drinking a glass of water shortly after consuming the staining food helps wash it off the teeth to reduce stain, and, of course, brushing shortly after consuming the staining food reduces its staining effect.
4. Tell me what constitutes excessive tooth whitening product use, and what damage I may be doing to my teeth and gums if I do not cut back;
ANSWER: This answer will be different based on the age of the patient, the condition of the patient's teeth and gums, the type of whitening product the patient is using, the concentration of the whitening product being used, the length of time the product is placed on the teeth, and many other factors, so please ask your dentist to provide you with the answer that applies to you. If you are indeed using the products excessively, your teeth may become more sensitive, your tooth enamel may become damaged, and your gums may become irritated.
5. How can tobacco potentially harm my mouth?
ANSWER: Tobacco can come in the form of chewing tobacco, cigars, pipes and cigarettes. All of these products increase your chances of getting oral cancer. Other conditions that can arise may not cancerous, but the gums may have become chronically irritated or inflamed. Both of these conditions may require surgery to correct.
6. How can unprotected sex potentially harm my mouth?
ANSWER: HPV (human papilloma virus) is a sexually transmitted infection that can infect the mouth during unprotected oral sex. HPV is a known risk factor in oral cancer, and oral cancer is on the rise. There are tests available to determine if you are at risk. They are quick, easy, inexpensive and pain free.
7. What are all the available dental materials available to place in my mouth, and is any one better than another?
ANSWER: If we are talking about fillings, the choices are gold alloy, silver amalgam, tooth colored composite filling material and porcelain. Each has potential advantages and disadvantages, and which one is best for you would be determined based on the condition of the tooth being filled.
8. How long can I expect my dental restorations (fillings, crowns, etc.) to last?
ANSWER: Once again, the answer would depend on the size of the restoration, how the patient bites on the tooth, and the oral hygiene habits of the patient. The answer would be different for each patient based on these factors.
9. At what age should my dentist begin regular dental checkups for my child, and how do I care for my child's mouth?
ANSWER: Children should have their first dental visit at the age of one year. Parents need to keep their baby's/toddler's mouth clean until the child can start brushing on his or her own with supervision, and lastly without supervision. Parents need to limit sugar and carbohydrate intake, and maintain adequate fluoride exposure, in order to prevent tooth decay in both the primary (baby) teeth and permanent (adult) teeth of their child.
10. Is is all genetics or is it mostly what I do on my own that will help me keep my teeth into old age?
ANSWER: While you may inherit the shape and size of your teeth and jaws from your parents, and that may have an effect on brushing and flossing, for the most part, it is what you do in your oral hygiene routine (at home and at the dentist's office) that will determine the health of your mouth.
Why Are Dental X-Rays Important?
Almost on a daily basis a patient makes the statement, "I do not need x-rays. I'm fine."
I secretly find the statement amusing because, even I, their dentist, cannot make the statement that they are fine, with any certainty, without the diagnostic aid of dental x-rays. Why? I do not have x-ray vision!
Here are just some things a dentist cannot see without the eyes of the dental x-ray:
- Tooth decay ("cavities") on surfaces that are not visible to the naked eye. These surfaces include root areas and inbetween the teeth areas. That is more than half of your total tooth structure!
- The level of bone supporting the tooth roots. This is a measure of gum health.
- Impacted wisdom teeth and/or other impacted teeth.
- Tooth infections or abscesses.
- Cysts or cancers.
- Integrity of existing dental work - fillings, crowns, posts, root canals.
Dental x- rays are a necessary part of your check-up oral evaluations. Please opt to have them taken at appropriate intervals.
Wednesday, February 24, 2010
Keeping Your Pearly Whites White

.Is There a Difference Between Plaque and Tartar? Absolutely!
Plaque is:
Soft;
Sticky;
Made up of bacteria and their byproducts;
Made up of Food Debris;
Harmful to the Teeth and Gums; and
Easily Removed with Brushing, Flossing and Rinsing.
Tartar is:
Hard;
Non - sticky;
Porous (bacteria attach to the rough surface easily);
Made up of mineral deposits from saliva;
Harmful to the teeth and gums because of the bacteria it harbors; and
Can only be removed professionally during your checkup and cleaning visits with the dentist.
The good news is that patients can exert a great deal of control on the plaque in their mouths through good home oral hygiene techniques. On the other hand, since tartar is a hard deposit it will continue to build until removed by a dentist or dental hygienist. So, stick with your biannual checkups and cleanings, and you will keep your mouth clean and healthy!
Tuesday, February 23, 2010
"Just Take It Out, Doc" - Better Yet, Not So Fast!
Yes, some teeth cannot be saved, no matter what heroic measures are taken to try and save them.
Other teeth can be saved, but the patient wants them removed because of the immediate tooth pain, or perceived financial pain to save them. In the long run, pulling a tooth that can be fixed is a mistake. Period.
Here are some of the things that can happen when one or more teeth are pulled:
- Adjacent teeth or opposing teeth (the ones the extracted tooth once chewed with) will shift;
- The bone that once supported the tooth's root will resorb (melt away) reducing the strength of your jaw;
- As teeth shift, the remaining teeth will meet at odd angles, increasing the wear to those teeth, and increasing the risk of fracture;
- Also, as teeth shift, gaps may appear in areas where the teeth once touched. This allows for more food to be caught between the teeth, and causes the gums be become irritated and inflamed;
- If many teeth are lost, and consequently much jaw bone is lost, there is a potential increase of jaw fractures;
- If not many teeth remain, the stability and retention of removable dentures decrease;
- As teeth are lost, and if they are not replaced, diet and nutrition suffer, as the diet becomes one of soft foods; and
- The way your face looks will change - sagging of the skin, skin folds around the mouth and wrinkles increase.
Keep Your Child's Teeth Healthy By Keeping Your Own Teeth Healthy
Childhood dental caries, or "cavities", is an infectious disease. Read that again, and let it sink in. Childhood caries is an infectious disease.
Infections are caused by the transfer of bacteria or viruses from one person to the next . In the case of early childhood caries, the bacteria is passed from the child's caregiver, usually the mother, to the child via sharing of utensils, or kissing on the lips.
The window of infectivity is the first two years of life. If the bacteria is passed from caregiver to child in the first two years of the child's life, the child's chances of getting cavities are dramatically increased.
How does this process happen? The bacteria in the mouth break down food, and in the process, produce acids. These acids break down tooth enamel and the caries process begins. The more sweet foods the child eats, the greater the chance of caries formation. Keep in mind that the frequency of sugar consumption is more harmful than the quantity of sugar consumption.
- If you are a child's caregiver, keep your teeth clean and healthy. Fill any existing cavities in your own mouth;
- Limit the frequency of sugar consumption for both you and your child;
- Take your child to see the dentist between the ages of 6 months to 1 year;
- Help your child brush their teeth;
- Have the dentist give your child a fluoride treatment every 3-6 months depending on the caries state of your child;
- Examine your child's teeth for caries. You will see white spots or brown spots in areas of active tooth decay; and
- Use tap water as often as possible in order to increase the fluoride exposure to the teeth.
Monday, February 22, 2010
What Causes Bad Breath?
Patients ask me this question all the time: " What Causes Bad Breath?"
The possibilities are:
1. Tooth decay ("cavities") or tooth infections ("abscessed tooth");
2. Gum disease - gingivitis or periodontitis;
3. A diet of spicy foods;
4. Post nasal drip;
5. Acid reflux;
6. Retention of bacteria on the tongue;
6. Retention of bacteria on the tonsils; and/or
7. Certain medications or vitamins - prescription or over the counter.
As you can see, bad breath can have many causes. It may be due to only one factor listed above, or a combination of factors.
Remember a good start is a dental exam and cleaning (or "deep cleaning" depending on your needs).
During this visit, your teeth and gums can be evaluated to find the possible solution for your bad breath concerns.
Bad breath can usually be improved once the possible cause is determined.
In the meantime, keep brushing, flossing and rinsing!
Does Tea Discolour Teeth?
Tea stains vessels, clothes and upholstery is bound to stain your teeth too, over a period of time. So if these beverages of regular c...
-
Q: via email April 9, 2010 from Yasmin J I am 8 weeks pregnant and I am wondering when I can get my teeth cleaned as I have noticed that m...
-
Q:Which type of toothbrush should I use? A: The brand of the toothbrush is not as critical as the type of bristle and the size of the hea...
-
Q: I have a habit of chewing ice, it feels good and relaxes me after a long day. Will this have any long term impact on my teeth? via email...







